Call–Exner bodies

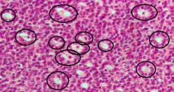
Call–Exner bodies marked with black circles in an intermediate-high magnification micrograph of a granulosa cell tumour, a type of sex cord stromal tumour. H&E stain.

Call–Exner bodies, giving a follicle-like appearance, are small eosinophilic fluid-filled punched out spaces between granulosa cells.[1] The granulosa cells are usually arranged haphazardly around the space.

They are pathognomonic for granulosa cell tumors.

Histologically, these tumors consists of monotonous islands of granulosa cells with "coffee-bean" nuclei. That same nuclear groove appearance noted in Brenner tumour, an epithelial-stromal ovarian tumor distinguishable by nests of transitional epithelial cells (urothelial) with longitudinal nuclear grooves (coffee bean nuclei) in abundant fibrous stroma.[2][3]

They are composed of membrane-packaged secretion of granulosa cells and have relations to the formation of liquor folliculi which are seen among closely arranged granulosa cells.

They are named for Emma Louise Call (1847–1937), an American physician, and Sigmund Exner (1846–1926), an Austrian physiologist.[4][5]

References

  1. ^ thefreedictionary.com > Call–Exner body Citing: The American Heritage Medical Dictionary. Copyright 2007
  2. ^ "Courses". virginia.edu. Archived from the original on 4 February 2006. Retrieved 31 January 2019.
  3. ^ Ahr, A.; Arnold, G.; Göhring, U. J.; Costa, S.; Scharl, A.; Gauwerky, J. F. (July 1997). "Cytology of ascitic fluid in a patient with metastasizing malignant Brenner tumor of the ovary. A case report". Acta Cytologica. 41 (4 Suppl): 1299–1304. doi:10.1159/000333524. ISSN 0001-5547. PMID 9990262.
  4. ^ "Call-Exner bodies (www.whonamedit.com)". 13 March 2009. Archived from the original on 13 March 2009. Retrieved 9 April 2023.
  5. ^ Emma Louise Call and Sigmund Exner: Zur Kenntniss des Graafschen Follikels und des Corpus luteum beim Kaninchen. Sitzungsberichte der kaiserlichen Akademie der Wissenschaften. Mathematish naturwssenschaftliche Classe, Wien, 1875, 72: 321-328.