Hofbauer cell

Hofbauer cells are oval eosinophilic histiocytes[1] with granules and vacuoles found in the placenta, which are of mesenchymal origin, in mesoderm of the chorionic villi, particularly numerous in early pregnancy.

Etymology

They are named after J. Isfred Isidore Hofbauer (1871[2]-1961),[1] a German-American gynecologist who described the cell type in his book Grundzüge einer Biologie der menschlichen Plazenta, mit besonderer Berücksichtigung der Fragen der fötalen Ernährung (Biology of the Human Placenta with a special emphasis on the question of fetal nourishment).

Function

They are believed to be a type of macrophage[3][4] and are most likely involved in preventing the transmission of pathogens from the mother to the fetus (vertical transmission). Although there are many studies concerning placental vasculogenesis and angiogenesis, there has been a lack of evidence on the possible roles of Hofbauer cells in these processes.[5] According to a systems level single-cell transcriptomics based study of human placental cell-cell communication, Hofbauer cells produce HBE-GF, an EGFR ligand, which drives differentiation of villous cytotrophoblasts towards syncytiotrophoblasts.[6]

Histology

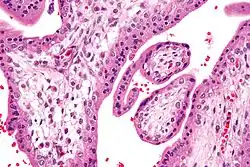
Micrograph of chorionic villi with Hofbauer cells. H&E stain.

Under histology sections, Hofbauer cells have appeared with discernible amount of cytoplasm.

References

  1. ^ a b Venes, Donald (2006). Taber's cyclopedic medical dictionary (Ed. 20, illustrated in full color. ed.). Philadelphia [Pa.]: Davis Co. ISBN 0-8036-1208-7.
  2. ^ "Dr. Isfred Hofbauer, a Gynecologist, 89". The New York Times. 1961-03-15. ISSN 0362-4331. Retrieved 2020-10-05.
  3. ^ Wood, GW. (1980). "Mononuclear phagocytes in the human placenta". Placenta. 1 (2): 113–23. doi:10.1016/s0143-4004(80)80019-1. PMID 7003580.
  4. ^ Zaccheo, D.; Pistoia, V.; Castellucci, M.; Martinoli, C. (1989). "Isolation and characterization of Hofbauer cells from human placental villi". Arch Gynecol Obstet. 246 (4): 189–200. doi:10.1007/bf00934518. PMID 2482706. S2CID 30920736.
  5. ^ Seval, Y.; Korgun, ET.; Demir, R. (2007). "Hofbauer cells in early human placenta: possible implications in vasculogenesis and angiogenesis". Placenta. 28 (8–9): 841–5. doi:10.1016/j.placenta.2007.01.010. PMID 17350092.
  6. ^ Vento-Tormo, Roser; Efremova, Mirjana; Botting, Rachel A.; Turco, Margherita Y.; Vento-Tormo, Miquel; Meyer, Kerstin B.; Park, Jong-Eun; Stephenson, Emily; Polański, Krzysztof; Goncalves, Angela; Gardner, Lucy; Holmqvist, Staffan; Henriksson, Johan; Zou, Angela; Sharkey, Andrew M.; Millar, Ben; Innes, Barbara; Wood, Laura; Wilbrey-Clark, Anna; Payne, Rebecca P.; Ivarsson, Martin A.; Lisgo, Steve; Filby, Andrew; Rowitch, David H.; Bulmer, Judith N.; Wright, Gavin J.; Stubbington, Michael J. T.; Haniffa, Muzlifah; Moffett, Ashley; Teichmann, Sarah A. (2018). "Single-cell reconstruction of the early maternal–fetal interface in humans". Nature. 563 (7731): 347–353. Bibcode:2018Natur.563..347V. doi:10.1038/s41586-018-0698-6. ISSN 0028-0836. PMC 7612850. PMID 30429548.