Lenarviricota

Lenarviricota
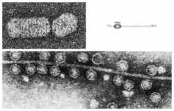
TEMs of phylum Lenarviricota virions: Ourmia melon virus (left); narnaviruses and mitoviruses have no capsid or envelope (right); bacteriophages Qbeta attached to the pilus of E. coli (bottom)
Virus classification Edit this classification
(unranked): Virus
Realm: Riboviria
Kingdom: Orthornavirae
Phylum: Lenarviricota
Classes

See text

Lenarviricota is a phylum of RNA viruses that includes all positive-strand RNA viruses that infect prokaryotes. Some members also infect eukaryotes. Most of these viruses do not have capsids, except for the genus Ourmiavirus.[1] The name of the group is a syllabic abbreviation of the names of founding member families "Leviviridae and Narnaviridae" with the suffix -viricota, denoting a virus phylum.[2]

Phylogenetics

Lenarviricota is the first branch of RNA viruses to emerge, since they are the most basal branch.[1] Most of its members, the leviviruses (class Leviviricetes), only infect prokaryotes, and their known level of diversity has grown dramatically in recent years, which suggests that the RNA viruses may be more widespread in prokaryotes than previously believed.[3]

It has been suggested that the origin of Lenarviricota may predate that of the last universal common ancestor (LUCA).[3] Lenarviricota viruses appear to have arisen from a primordial RdRP of the RNA-protein world that gave rise to leviviruses (class Leviviricetes).[4] It has also been suggested that the retroelements of cellular life (group II introns and retrotransposons) evolved from a shared ancestor with Lenarviricota.[5]

The eukaryotic RNA viruses without capsids, Mitoviridae, Narnaviridae and Botourmiaviridae, arose from the leviviruses with the loss of the capsid during the time that eukaryogenesis occurred, when the bacterial endosymbiont became the mitochondria. The genus Ourmiavirus arose by recombination between a non-capsid botourmiavirus and a virus from the family Tombusviridae, which inherited its capsid proteins.[1][4]

Taxonomy

Phylogenetic tree of Lenarviricota (top), genome of different members and major conserved proteins (bottom)

The following classes are recognized:[6]

References

  1. ^ a b c Wolf, Yuri I.; Kazlauskas, Darius; Iranzo, Jaime; Lucía-Sanz, Adriana; Kuhn, Jens H.; Krupovic, Mart; Dolja, Valerian V.; Koonin, Eugene V. (2018-12-21). "Origins and Evolution of the Global RNA Virome". mBio. 9 (6). doi:10.1128/mBio.02329-18. ISSN 2150-7511. PMC 6282212. PMID 30482837.
  2. ^ Koonin EV, Dolja VV, Krupovic M, Varsani A, Wolf YI, Yutin N, Zerbini M, Kuhn JH. "Proposal: Create a megataxonomic framework, filling all principal taxonomic ranks, for realm Riboviria". International Committee on Taxonomy of Viruses (ICTV). Retrieved 2020-05-21.
  3. ^ a b Krupovic M, Dolja VV, Koonin EV (14 July 2020). "The LUCA and its complex virome" (PDF). Nature Reviews Microbiology. 18 (11): 661–670. doi:10.1038/s41579-020-0408-x. PMID 32665595. S2CID 220516514. Retrieved 16 August 2020.
  4. ^ a b Koonin EV, Dolja VV (June 2014). "Virus World as an Evolutionary Network of Viruses and Capsidless Selfish Elements". Microbiology and Molecular Biology Reviews. 78 (2): 278–303. doi:10.1128/MMBR.00049-13. PMC 4054253. PMID 24847023.
  5. ^ Zayed, Ahmed A.; et al. (April 8, 2022). "Cryptic and abundant marine viruses at the evolutionary origins of Earth's RNA virome". Science. 376 (6589): 156–162. Bibcode:2022Sci...376..156Z. doi:10.1126/science.abm5847. PMC 10990476. PMID 35389782. S2CID 248025736.
  6. ^ "Virus Taxonomy: 2020 Release". International Committee on Taxonomy of Viruses (ICTV). March 2021. Retrieved 16 May 2021.