Littoral cell angioma

Littoral cell angioma
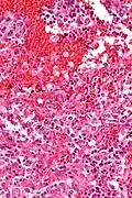
Low magnification micrograph of a littoral cell angioma. H&E stain.
SpecialtyPathology

Littoral cell angioma, abbreviated LCA, and formally known as littoral cell angioma of the spleen, is a benign tumour of the spleen that arises from the cells that line the red pulp.[1]

Symptoms

LCAs most often are not clinically detectable. On occasion, their first presentation may be with splenic rupture.[2]

Most patients show no symptoms and the tumours are found incidentally.

Diagnosis

Littoral cell angiomas show in CT scans. They are diagnosed by pathologists by taking a sample of the tumour via Fine Needle Aspiration or Core Needle Aspiration or from a splenectomy. Histologically, they have anastoming small vascular channels and cystic spaces with papillary projections.[2]

Treatment

The treatment for a littoral cell angioma is a splenectomy.

See also

References

  1. ^ Tan, YM.; Chuah, KL.; Wong, WK. (Jul 2004). "Littoral cell angioma of the spleen" (PDF). Ann Acad Med Singap. 33 (4): 524–6. PMID 15329769.
  2. ^ a b Dascalescu, CM.; Wendum, D.; Gorin, NC. (Sep 2001). "Littoral-cell angioma as a cause of splenomegaly". N Engl J Med. 345 (10): 772–3. doi:10.1056/NEJM200109063451016. PMID 11547761.