Mucinous cystadenoma

Mucinous cystadenoma
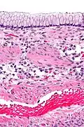
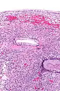
Micrograph showing a mucinous cystadenoma of the ovary. H&E stain.
SpecialtyOncology Edit this on Wikidata

Mucinous cystadenoma is a benign cystic tumor lined by a mucinous epithelium. It is a type of cystic adenoma (cystadenoma).

Mucinous cystadenomas arise in a number of locations; however, cases of mucinous cystadenoma at different locations are not generally considered to be related to one another.

Overview

Mucinous cystadenomas may be found in the:

Ovarian mucinous cystadenoma

Mucinous cystadenomas make up 15–20% of all ovarian tumors. They often become very large and can extend up into the abdomen.

These tumors are usually evaluated using ultrasound, CT scan, or MRI. Findings on imaging studies are nonspecific. These ovarian tumors are usually multi-septated, cystic masses with thin walls. They also contain varying amounts of solid tissue which consists of proliferating stromal tissue, papillae, or malignant tumor cells.

Benign mucinous cystadenomas compose 80% of mucinous ovarian tumors[2] and 20–25% of benign ovarian tumors overall. The peak incidence occurs between 30 and 50 years of age. Benign tumors are bilateral in 5–10% of cases.

Macroscopy

Microscopy

Types

Pancreatic

Pancreatic mucinous cystadenoma or mucinous cystadenoma of the pancreas (MCN) are a type of mucinous cystic neoplasm of the pancreas.[3] The cure rate is very high in cases on benign cystic lesions, but the case changes if malignant changes ensue.[4] Benign cystadenomas are the most common cystic tumors of the pancreas accounting for 75% of the cases. On average, mucinous accounts for 40–50% of cystic tumors, and serous cystadenoma accounts for 30% of it. Mucinous cystadenomas are in the distal pancreas in about 80% of the cases and distal pancreatectomy is needed for resection.[4] In 20% of the cases it is in the head of the pancreas.[3]

Earlier it was believed that MCN occurs exclusively in women who are middle aged. However, occasional occurrence in men have been reported,[3] especially those who are 45 years of age or above.[5]

Liver

A rare neoplasm, 95% of cases occur in women, especially at the mean age of 45.[6] Biliary cystadenoma and cystadenocarcinoma constitute less than 5% of intrahepatic cysts originating from the bile duct.[6]

Cystadenomas in liver are often confused with hydatid cyst as their appearance on various imaging techniques is nearly same.[7] Treating cystadenomas as hydatid cyst has resulted in recurrence of the cyst.[7]

Primary retroperitoneal

Cases of primary retroperitoneal mucinous cystadenoma (PRMC) are extremely rare. However, they are observed more frequently in women, with only four cases having been found in men.[8] Even though mucinous cystadenoma are common ovarian tumor, what makes PRMC so rare is their retroperitoneal location.

PRMC and benign mucinous cystadenoma of the ovary are microscopically similar. Both are multiloculated cystic neoplasms and are lined by a single layer of tall columnar cells with a clear basal nucleus and cytoplasm. Both of them have identical histochemical and ultrastructural features.[9] Flat to low cuboidal cells, resembling mesothelial cells, in the lining interspersed between columnar cells in the same area is the only histological difference between the two tumors.[9]

See also

References

  1. ^ Grubor NM, Colovic RB, Atkinson HD, Micev MT (2013). "Giant biliary mucinous cystadenoma of the liver". Annals of Hepatology. 12 (6): 979–983. doi:10.1016/S1665-2681(19)31306-7. PMID 24114831.
  2. ^ Hart WR (January 2005). "Mucinous tumors of the ovary: a review". International Journal of Gynecological Pathology. 24 (1): 4–25. PMID 15626914.
  3. ^ a b c Weerakkody Y. "Mucinous cystadenoma of the pancreas". Radiology Reference Article. Radiopaedia.org. Retrieved 2019-09-21.
  4. ^ a b Weledji EP, Eyongetah D, Nana TC, Ngowe MN (February 2018). "Excision of mucinous cystadenoma of pancreas is safe and effective: a case report". IJS Oncology. 3 (2): e47. doi:10.1097/IJ9.0000000000000047. ISSN 2471-3864. S2CID 80040000.
  5. ^ Kuo E, Gonzalez RS (15 April 2021). Hagen CE (ed.). "Mucinous cystic neoplasm (MCN)". www.pathologyoutlines.com. Retrieved 2019-09-21.
  6. ^ a b Jain D (9 January 2013). "Biliary cystadenoma". www.pathologyoutlines.com. Archived from the original on 13 February 2014. Retrieved 2019-09-21.
  7. ^ a b Ahmad Z, Uddin N, Memon W, Abdul-Ghafar J, Ahmed A (November 2017). "Intrahepatic biliary cystadenoma mimicking hydatid cyst of liver: a clinicopathologic study of six cases". Journal of Medical Case Reports. 11 (1): 317. doi:10.1186/s13256-017-1481-2. PMC 5680786. PMID 29121977.
  8. ^ Lee SY, Han WC (February 2016). "Primary Retroperitoneal Mucinous Cystadenoma". Annals of Coloproctology. 32 (1): 33–37. doi:10.3393/ac.2016.32.1.33. PMC 4783510. PMID 26962534.
  9. ^ a b Subramony C, Habibpour S, Hashimoto LA (May 2001). "Retroperitoneal mucinous cystadenoma". Archives of Pathology & Laboratory Medicine. 125 (5): 691–694. doi:10.5858/2001-125-0691-RMC. PMID 11300948.