Polyp (medicine)

Polyp
Polyp of sigmoid colon as revealed by colonoscopy. Approximately 1 cm in diameter. The polyp was removed by snare cautery.
SpecialtyPathology

A polyp is an abnormal growth of tissue[1] projecting from a mucous membrane.[2] Polyps are commonly found in the colon, stomach, nose, ear, sinus(es), urinary bladder, and uterus.[3][4] They may also occur elsewhere in the body where there are mucous membranes, including the cervix, vocal folds, and small intestine.

If it is attached by a narrow elongated stalk, it is said to be pedunculated; if it is attached without a stalk, it is said to be sessile.[5][6][7][8]

Some polyps are tumors (neoplasms) and others are non-neoplastic,[9][10] for example hyperplastic or dysplastic, which are benign. The neoplastic ones are usually benign, although some can be pre-malignant, or concurrent with a malignancy.[11]


Digestive polyps

Relative incidences by location:

Polyp Typical location Histologic appearance Risk of malignancy Picture Syndromes
Hyperplastic polyp Colorectal (unless otherwise specified) Serrated unbranched crypts if polyps are more than 100
Serrated polyposis syndrome
Hyperplastic polyp of the stomach Stomach Elongated, tortuous, and cystic foveolae separated by edematous and inflamed stroma.[14]
Gastric hyperplastic polyposis
Fundic gland polyp Fundus of stomach Cystically dilated glands lined by chief cells, parietal cells and mucinous foveolar cells.[15] Very low or none, when sporadic.[16]
Fundic gland polyposis
Sessile serrated adenoma Colorectal Similar to hyperplastic with hyperserration, dilated/branched crypt base, prominent mucin cells at crypt base Yes
Serrated polyposis syndrome
Inflammatory Non-specific Raised mucosa/submucosa with inflammation If dysplasia develops Inflammatory bowel disease, ulcers, infections, mucosal prolapse
Tubular Adenoma (Villous, Tubulovillous) Colorectal Tubular glands with elongated nuclei (at least low-grade atypia) Yes
Traditional serrated adenoma Colorectal Serrated crypts, often villous architecture, with cytologic atypia, eosinophilic cells Yes
Serrated polyposis syndrome
Peutz-Jeghers Polyp All digestive tract Smooth muscle bundles between nonneoplastic epithelium, "Christmas tree" appearance No
Peutz–Jeghers syndrome
Juvenile Polyp Upper GI tract and colon Cystically dilated glands with expanded lamina propria Not inherently, may develop dysplasia
Juvenile polyposis syndrome, identical polyps in Cronkhite–Canada syndrome
Hamartomatous Polyp (Cowden Syndrome) Mainly colorectal Variable; classical mildly fibrotic polyp with disorganized mucosa and splaying of muscularis mucosae; also inflammatory, juvenile, lipoma, ganglioneuroma, lymphoid No Cowden syndrome
Inflammatory fibroid polyp All digestive tract Spindle cells, featuring concentric arrangements around blood vessels, and inflammation rich in eosinophils none

[17][18]

Colorectal polyp

While colon polyps are not commonly associated with symptoms, occasionally they may cause rectal bleeding, and on rare occasions pain, diarrhea or constipation.[19] They are a concern because of the potential for colon cancer being present microscopically, and the risk of benign colon polyps becoming malignant over time.[20] Since most polyps are asymptomatic, they are usually discovered at the time of colon cancer screening. Common screening methods are occult blood test, colonoscopy with a modern flexible endoscope, sigmoidoscopy (usually with the older rigid endoscope), lower gastrointestinal series (barium enema), digital rectal examination (DRE), virtual colonoscopy or Cologuard.[21]

The polyps are routinely removed at the time of colonoscopy, either with a wire loop known as a polypectomy snare (first description by P. Deyhle, Germany, 1970),[22] or with biopsy forceps. If an adenomatous polyp is found, it must be removed, since such a polyp is pre-cancerous and has a propensity to become cancerous. For certainty, all polyps which are found by any diagnostic modality, are removed by a colonoscopy.

In the US, if a colonoscopy finds polyps that are 10mm or bigger, numerous or abnormal, a repeat colonoscopy may be required (within three years). If one or two are found that are less than 5mm in diameter you may not have to return for a colonoscopy for five or more years. If none are found, a repeat colonoscopy may not be required for 10 years.[23] Most colon polyps can be categorized as sporadic.[24]

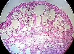
Inherited polyposis syndromes

Micrograph of a Peutz–Jeghers colonic polyp – a type of hamartomatous polyp. H&E stain.

Non-inherited polyposis syndromes

Types of colon polyps

Adenomatous polyps

Adenomatous polyps, or adenomas, are polyps that grow on the lining of the colon and which carry a high risk of cancer. The adenomatous polyp is considered pre-malignant, i.e., likely to develop into colon cancer.[26] The other types of polyps that can occur in the colon are hyperplastic and inflammatory polyps, which are unlikely to develop into colorectal cancer.[27]

About 5% of people aged 60 will have at least one adenomatous polyp of 1 cm diameter or greater.[28] Multiple adenomatous polyps often result from familial polyposis coli or familial adenomatous polyposis, a condition that carries a very high risk of colon cancer.[25]

Types

Adenomas constitute approximately 10% of digestive polyps. Most polyps (approximately 90%) are small, usually less than 1 cm in diameter, and have a small potential for malignancy. The remaining 10% of adenomas are larger than 1 cm and approach a 10% chance of containing invasive cancer.[29]

There are three types of adenomatous polyp:

  • Tubular adenomas (tube-like shape) are the most common of the adenomatous polyps; they may occur everywhere in the colon and they are the least likely colon polyps to develop into colon cancer
  • Tubulovillous
  • Villous adenomas are commonly found in the rectal area and they are normally larger in size than the other two types of adenomas. They tend to be non-pedunculated, velvety, or cauliflower-like in appearance and they are associated with the highest morbidity and mortality rates of all polyps. They can cause hypersecretory syndromes characterized by hypokalemia and profuse mucous discharge, and can harbor carcinoma in situ or invasive carcinoma more frequently than other adenomas.

Risks

The risks of progression to colorectal cancer increase if the polyp is larger than 1 cm and contains a higher percentage of villous component. Also, the shape of the polyps is related to the risk of progression into carcinoma. Polyps that are pedunculated (with a stalk) are usually less dangerous than sessile polyps (flat polyps). Sessile polyps have a shorter pathway for migration of invasive cells from the tumor into submucosal and more distant structures, and they are also more difficult to remove and ascertain. Sessile polyps larger than 2 cm usually contain villous features, have a higher malignant potential, and tend to recur following colonoscopic polypectomy.[30]

Although polyps do not carry significant risk of colon cancer, tubular adenomatous polyps may become cancerous when they grow larger. Larger tubular adenomatous polyps have an increased risk of malignancy when larger because then they develop more villous components and may become sessile.[31]

It is estimated that an individual whose parents have been diagnosed with an adenomatous polyp has a 50% greater chance to develop colon cancer than individuals with no family history of colonic polyps.[32] Research suggests approximately 5 percent of colon cancer cases are due to an inherited genetic mutation.[24]

Screening

Screening for colonic polyps as well as preventing them has become an important part of the management of the condition. Medical societies have established guidelines for colorectal screening in order to prevent adenomatous polyps and to minimize the chances of developing colon cancer.[33][34] It is believed that some changes in the diet might be helpful in preventing polyps from occurring, but there is no other way to prevent the polyps from developing into cancerous growths than detecting and removing them.[35]

Colon polyps as they grow can sometimes cause bleeding within the intestine, which can be detected by an occult blood test. According to American Cancer Society guidelines, people over 50 should have an annual occult blood test. People in their 50s are recommended to have flexible sigmoidoscopies performed once every 3 to 5 years to detect any abnormal growth which could be an adenomatous polyp. If adenomatous polyps are detected during this procedure, a colonoscopy is recommended. Medical societies recommend colonoscopies every ten years starting at age 50 as a necessary screening practice for colon cancer.[21][36] The screening provides an accurate image of the intestine and also allows the removal of the polyp, if found.

Once an adenomatous polyp is identified during colonoscopy, they can be treated with a polypectomy, minimally invasive surgery or in cases with additional risk factors, a total proctocolectomy.[11] Colonoscopies are preferred over sigmoidoscopies because they allow the examination of the entire colon and can detect polyps in the upper colon, where more than half of polyps occur.[37]

It has been statistically demonstrated that screening programs are effective in reducing the number of deaths caused by colon cancer due to adenomatous polyps. The risk of complications associated with colonoscopies is approximately 0.35 percent, compared to a lifetime risk of developing colon cancer of around 6 percent.[38] As there is a small likelihood of recurrence, further screening after polyp removal is recommended.[35]

Endometrial polyp

An endometrial polyp or uterine polyp is a polyp or lesion in the lining of the uterus (endometrium) that takes up space within the uterine cavity. Commonly occurring, they are experienced by up to 10% of women.[39] They may have a large flat base (sessile) or be attached to the uterus by an elongated pedicle (pedunculated).[39][40] Pedunculated polyps are more common than sessile ones.[41] They range in size from a few millimeters to several centimeters.[40] If pedunculated, they can protrude through the cervix into the vagina.[39][42] Small blood vessels may be present in polyps, particularly large ones.[39]

Cervical polyp

A cervical polyp is a common benign polyp or tumor on the surface of the cervical canal.[43] They can cause irregular menstrual bleeding or increased pain but often show no symptoms.[44]

Nasal polyps

Nasal polyps are polypoidal masses arising mainly from the mucous membranes of the nose and paranasal sinuses. They are overgrowths of the mucosa that frequently accompany allergic rhinitis. They can be caused by inflammation and chronic sinusitis. Small nasal polyps may cause no symptoms, but larger nasal polyps can cause nasal congestion, headaches or rhinorrhea, along with other symptoms.[45][46][47]

Laryngeal polyps

Polyps on the vocal folds can take on many different forms, and can sometimes result from vocal abuse, although this is not always the cause. They can occur on one or both vocal folds, and appear as swelling, a bump (similar to a nodule), a stalk-like growth, or a blister-like lesion. Most polyps are larger than nodules, which are more similar to callouses on the vocal folds. Polyps and nodules can exhibit similar symptoms including hoarseness or breathiness, "rough" or "scratchy" voice, harshness in vocal quality, shooting pain from ear to ear, sensation of having "a lump in the back of the throat", neck pain, decreased pitch range in the voice, and vocal and bodily fatigue.[48][49][50]

If an individual experiences symptoms for more than 2 to 3 weeks, they should see a physician. For a diagnosis, a thorough evaluation of the voice should include a physical examination, preferably by an otolaryngologist (ear, nose, and throat doctor) who specializes in voice, a voice evaluation with a speech-language pathologist (SLP), a neurological examination (in certain cases) The qualities of the voice that will be evaluated include quality, pitch, loudness, and ability to sustain voicing. In some cases, an instrumental examination may be performed with an endoscope into the mouth or nose; this gives a clear look at the vocal folds and larynx in general. In addition to this, a stroboscope (flashing light) may be used to observe the movement of the vocal folds during speech.[51]

Polyps may be treated with medical, surgical, or behavioral intervention. Surgical intervention involves removing the polyp from the vocal fold. This approach is only used when the growth(s) are very large or have existed for an extended amount of time. In children, surgical intervention is rare. Existing medical problems may be treated in an effort to reduce the strain and negative impact on the vocal cords. This could include treatment for gastrointestinal reflux disease, allergies, and thyroid problems. Intervention to stop smoking and reduce stress may also be needed. Most people receive behavioral intervention, or vocal therapy, from an SLP. This might involve teaching good vocal hygiene, and reducing or stopping vocal abuse behaviors. Direct voice treatments may be used to alter pitch, loudness, or breathe support to promote good voicing.[52][53]

Etymology

The name is of ancient origin, in use in English from about 1400 for a nasal polyp, from Latin polypus through Greek.[54] The animal of similar appearance called polyp is attested from 1742, although the word was earlier used for an octopus.[55]

References

  1. ^ "Polyps". www.healthdirect.gov.au. 2024-12-23. Retrieved 2025-07-23.
  2. ^ Morson, B.C. (November 1984). "The polyp story". Postgraduate Medical Journal. 60 (709): 820–824. doi:10.1136/pgmj.60.709.820. PMID 6504803.
  3. ^ "What is a polyp?". www.cancer.org.au. Retrieved 2025-07-23.
  4. ^ "What to Know About Polyps". WebMD. Retrieved 2025-07-23.
  5. ^ "Colon and Rectal Polyps | University of Michigan Health". www.uofmhealth.org. Retrieved 2025-07-23.
  6. ^ "Colon polyp size chart: How doctors classify polyps". www.medicalnewstoday.com. 2023-07-21. Retrieved 2025-07-23.
  7. ^ Nijkang, Njume Peter; Anderson, Lyndal; Markham, Robert; Manconi, Frank (2019). "Endometrial polyps: Pathogenesis, sequelae and treatment". SAGE Open Medicine. 7: 2050312119848247. doi:10.1177/2050312119848247. ISSN 2050-3121. PMC 6501471. PMID 31105939.
  8. ^ Alkilani, Yara G.; Gomez Lopez, Luisa Fernanda; Apodaca-Ramos, Irasema (2025), "Cervical Polyps", StatPearls, Treasure Island (FL): StatPearls Publishing, PMID 32965856, retrieved 2025-07-23
  9. ^ "3 Things to Know About Colon Polyps". Yale Medicine. Retrieved 2025-07-23.
  10. ^ Macrae, Finlay A.; Young, Graeme P. (2008), "Neoplastic and Nonneoplastic Polyps of the Colon and Rectum", Textbook of Gastroenterology, John Wiley & Sons, Ltd, pp. 1611–1639, doi:10.1002/9781444303254.ch63, ISBN 978-1-4443-0325-4, retrieved 2025-07-23
  11. ^ a b "Colon polyps - Diagnosis and treatment - Mayo Clinic". www.mayoclinic.org. Retrieved 2025-07-23.
  12. ^ References for diagram are located at: Commons:Template:Pie chart of colorectal polyp etiologies - Source.
  13. ^ García-Alonso, Francisco Javier; Martín-Mateos, Rosa María; González-Martín, Juan Ángel; Foruny, José Ramón; Vázquez-Sequeiros, Enrique; Boixeda de Miquel, Daniel (2011). "Gastric polyps: analysis of endoscopic and histological features in our center". Revista Española de Enfermedades Digestivas. 103 (8): 416–420. doi:10.4321/S1130-01082011000800005. ISSN 1130-0108. PMID 21867351.
  14. ^ Groisman, Gabriel M.; Depsames, Roman; Ovadia, Baruch; Meir, Alona (2014). "Metastatic Carcinoma Occurring in a Gastric Hyperplastic Polyp Mimicking Primary Gastric Cancer: The First Reported Case". Case Reports in Pathology. 2014: 1–5. doi:10.1155/2014/781318. ISSN 2090-6781. PMC 4221967. PMID 25400965.
    - Attribution 3.0 Unported (CC BY 3.0) license
  15. ^ Naziheh Assarzadegan, M.D., Raul S. Gonzalez, M.D. "Stomach Polyps – Fundic gland polyp". PathologyOutlines.{{cite web}}: CS1 maint: multiple names: authors list (link) Topic Completed: 1 November 2017. Minor changes: 11 December 2019
  16. ^ Varocha Mahachai, MDDavid Y Graham, MDRobert D Odze, MD, FRCPC. "Gastric polyps". UpToDate.{{cite web}}: CS1 maint: multiple names: authors list (link) Literature review current through: Sep 2020. | This topic last updated: Feb 14, 2019.
  17. ^ Fletcher's Diagnostic Histopathology of Tumors, 3rd Ed..
  18. ^ Sternberg's Diagnostic Surgical Pathology, 5th Ed.
  19. ^ "Colonic Polyps". medlineplus.gov. Retrieved 2020-04-30.
  20. ^ "Colon polyps – Symptoms and causes". Mayo Clinic. Retrieved 2020-04-30.
  21. ^ a b American Gastroenterological Association, "Five Things Physicians and Patients Should Question" (PDF), Choosing Wisely: an initiative of the ABIM Foundation, American Gastroenterological Association, archived from the original (PDF) on August 9, 2012, retrieved August 17, 2012
  22. ^ Deyhle P (1980). "Results of endoscopic polypectomy in the gastrointestinal tract". Endoscopy (Suppl): 35–46. PMID 7408789.
  23. ^ "They found colon polyps: Now what?". Harvard Health. 2013-07-17. Retrieved 2025-07-23.
  24. ^ a b Menon, Gopal; Cagir, Burt (2025), "Colon Cancer", StatPearls, Treasure Island (FL): StatPearls Publishing, PMID 29262132, retrieved 2025-07-23
  25. ^ a b "Familial Adenomatous Polyposis". The Lecturio Medical Concept Library. Retrieved 22 July 2021.
  26. ^ "Adenomatous Polyps". Archived from the original on 2010-02-06. Retrieved 2010-04-13.
  27. ^ "Colon Cancer Treatment (PDQ®)". NCI. May 12, 2014. Archived from the original on July 5, 2014. Retrieved June 29, 2014.
  28. ^ "Polyps in the colon (large bowel)". Netdoctor. Retrieved 2010-04-13.
  29. ^ "Colonic Polyps". Retrieved 2010-04-13.
  30. ^ "Management of Colonic Polyps and Adenomas". Retrieved 2010-04-13.
  31. ^ Taherian, Mehran; Lotfollahzadeh, Saran; Daneshpajouhnejad, Parnaz; Arora, Komal (2023), "Tubular Adenoma", StatPearls, Treasure Island (FL): StatPearls Publishing, PMID 31985973, retrieved 2023-03-31
  32. ^ "Colon Polyps (cont.)". Retrieved 2010-06-25.
  33. ^ "Bowel cancer screening". Bowel Cancer UK. Retrieved 2025-07-23.
  34. ^ "Your guide to NHS bowel cancer screening". GOV.UK. Retrieved 2025-07-23.
  35. ^ a b "Colorectal cancer". www.who.int. Retrieved 2025-07-23.
  36. ^ Winawer, S.; Fletcher, R.; Rex, D.; Bond, J.; Burt, R.; Ferrucci, J.; Ganiats, T.; Levin, T.; Woolf, S.; Johnson, D.; Kirk, L.; Litin, S.; Simmang, C.; Gastrointestinal Consortium, P. (2003). "Colorectal cancer screening and surveillance: Clinical guidelines and rationale – Update based on new evidence". Gastroenterology. 124 (2): 544–560. doi:10.1053/gast.2003.50044. PMID 12557158.
  37. ^ "Flexible Sigmoidoscopy: The Partial Colonoscopy". Cleveland Clinic. Archived from the original on 2025-04-30. Retrieved 2025-07-23.
  38. ^ "Colonoscopy Risks". Archived from the original on 2012-11-18. Retrieved 2010-06-25.
  39. ^ a b c d Bates, Jane (2007). Practical Gynaecological Ultrasound. Cambridge University Press. p. 65. ISBN 978-1-900151-51-1.
  40. ^ a b "Uterine polyps". MayoClinic.com. 2006-04-27. Retrieved 2007-10-20.
  41. ^ Sternberg, Stephen S.; Stacey E. Mills; Darryl Carter (2004). Sternberg's Diagnostic Surgical Pathology. Lippincott Williams & Wilkins. p. 2460. ISBN 0-7817-4051-7.
  42. ^ "Dysmenorrhea: Menstrual abnormalities". Merck Manual of Diagnosis and Therapy. 2005. Retrieved 2007-10-20.
  43. ^ Boon, Mathilde E.; Albert J. H. Suurmeijer (1996). The Pap Smear. Taylor & Francis. p. 87. ISBN 3-7186-5857-7.
  44. ^ Jane Bates (8 January 1997). Practical Gynaecological Ultrasound. Cambridge University Press. pp. 77–. ISBN 978-1-900151-51-1.
  45. ^ "Nasal Polyps: When Should You Remove Them?". Cleveland Clinic. Archived from the original on 2025-07-17. Retrieved 2025-07-23.
  46. ^ "Nasal polyps". nhs.uk. 2017-10-23. Retrieved 2025-07-23.
  47. ^ "Nasal polyps - Symptoms, diagnosis and treatment | BMJ Best Practice US". bestpractice.bmj.com. Retrieved 2025-07-23.
  48. ^ "Vocal Cord Nodules and Polyps". American Speech-Language-Hearing Association. Retrieved 2025-07-23.
  49. ^ Vasconcelos, Daniela de; Gomes, Adriana de Oliveira Camargo; Araújo, Cláudia Marina Tavares de (Jan 2019). "Vocal Fold Polyps: Literature Review". International Archives of Otorhinolaryngology. 23 (1): 116–124. doi:10.1055/s-0038-1675391. ISSN 1809-9777. PMC 6331298. PMID 30647795.
  50. ^ "Vocal Cord Nodules: Causes, Symptoms and Treatment". Cleveland Clinic. Archived from the original on 2025-06-20. Retrieved 2025-07-23.
  51. ^ Nunes, Raquel Buzelin; Behlau, Mara; Nunes, Mauricio Buzelin; Paulino, Juliana Gomes (August 2013). "Clinical diagnosis and histological analysis of vocal nodules and polyps". Brazilian Journal of Otorhinolaryngology. 79 (4): 434–440. doi:10.5935/1808-8694.2013007 (inactive 24 July 2025). ISSN 1808-8686. PMC 9442358. PMID 23929142.{{cite journal}}: CS1 maint: DOI inactive as of July 2025 (link)
  52. ^ Barsties V Latoszek, Ben; Watts, Christopher R.; Hetjens, Svetlana; Neumann, Katrin (2023-05-13). "The Efficacy of Different Voice Treatments for Vocal Fold Polyps: A Systematic Review and Meta-Analysis". Journal of Clinical Medicine. 12 (10): 3451. doi:10.3390/jcm12103451. ISSN 2077-0383. PMC 10219546. PMID 37240557.
  53. ^ Hrelec, Candace (31 August 2023). "Vocal Polyps and Nodules Treatment & Management". Medscape. Retrieved 23 July 2025.
  54. ^ "polyp". Oxford English Dictionary (Online ed.). Oxford University Press. (Subscription or participating institution membership required.)
  55. ^ "Polyp - Etymology, Origin & Meaning". etymonline. Retrieved 2025-07-23.