Rectus sheath hematoma

Rectus sheath hematoma
Rectus abdominis muscle

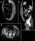
A rectus sheath hematoma is an accumulation of blood in the sheath of the rectus abdominis muscle. It causes abdominal pain with or without a mass.

The hematoma may be caused by either rupture of the epigastric artery or by a muscular tear. Several factors have been identified as predisposing risks for rectus sheath hematoma, including coughing, straining, exercise, hypertension, obesity, previous abdominal surgery, subcutaneous injection, trauma and anticoagulant therapy. With an ageing population and the widespread use of anticoagulant medications, there is evidence that this historically benign condition is becoming more common and more serious.[1] Anticoagulant therapy is used to treat many diseases. However, in the COVID-19 pandemic, anticoagulant therapy was frequently used and therefore the incidence of rectus sheath hematoma increased.[2][3] Given that thrombotic events have been documented in numerous studies, it is advisable to initiate prophylactic and anticoagulant treatment during the early phase of COVID-19 disease. [4]

On abdominal examination, people may have a positive Carnett's sign.

Most hematomas resolve without treatment, but they may take several months to resolve.

References

  1. ^ Fitzgerald, J. E. F.; Fitzgerald, L. A.; Anderson, F. E.; Acheson, A. G. (2009). "The changing nature of rectus sheath haematoma: Case series and literature review". International Journal of Surgery. 7 (2): 150–154. doi:10.1016/j.ijsu.2009.01.007. PMID 19261556.
  2. ^ Mahmoudabadi, Hossein Zabihi; Hadadi, Azar; Fattahi, Mohammad Reza; Kafan, Samira; Ashouri, Mohammad; Allahbeigi, Rashad; Hajebi, Reza (2022-02-12). Fan, Zhe (ed.). "Rectus Sheath Hematoma in COVID-19 Patients as a Mortal Complication: A Retrospective Report". International Journal of Clinical Practice. 2022: 1–7. doi:10.1155/2022/7436827. ISSN 1742-1241. PMC 9159132. PMID 35685571.
  3. ^ Emekli, Emre; Yıldırım, Mesut; Türkkanı, Mustafa H; Ödemiş Başpınar, Emel (2023-05-12). "Rectus Sheath Hematoma as a Complication in Patients With COVID-19: Clinical and Imaging Findings". Cureus. 15 (5): e38943. doi:10.7759/cureus.38943. ISSN 2168-8184. PMC 10259751. PMID 37313085.
  4. ^ Miesbach, Wolfgang; Makris, Michael (2020-01-01). "COVID-19: Coagulopathy, Risk of Thrombosis, and the Rationale for Anticoagulation". Clinical and Applied Thrombosis/Hemostasis. 26: 107602962093814. doi:10.1177/1076029620938149. ISSN 1076-0296. PMC 7370334. PMID 32677459.
  5. ^ "UOTW #13 - Ultrasound of the Week". Ultrasound of the Week. 12 August 2014. Retrieved 27 May 2017.