Renal infarction

Renal infarction
Other namesKidney infarction
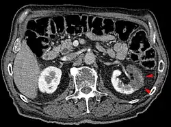
CT scan of the abdomen showing partial infarct of the left kidney.
SpecialtyNephrology
SymptomsAbdominal pain, nausea, vomiting, and fever.[1]
ComplicationsAcute kidney injury and chronic kidney disease.[1]
CausesCardioembolic disease, renal artery injury, and hypercoagulable state.[1]
Diagnostic methodHematuria, elevated lactate dehydrogenase, CT scan.[1]
Differential diagnosisRenal colic and acute pyelonephritis.[1]
Frequency1.4% (of 14,411) [2]

Renal infarction is a medical condition caused by an abrupt disruption of the renal blood flow in either one of the segmental branches or the major ipsilateral renal artery.[3] Patients who have experienced an acute renal infarction usually report sudden onset flank pain, which is often accompanied by fever, nausea, and vomiting.[4]

The primary causes of renal infarction are hypercoagulable conditions, renal artery damage (usually brought on by arterial dissection), and cardioembolic illness.[5]

Signs and symptoms

The most common symptoms of a renal infarction are acute onset flank pain, fever, nausea, and vomiting. This may be accompanied by an abrupt rise in blood pressure, most likely due to renin mediation. Rarely oliguria will be present.[4]

Complications

Complications include acute kidney injury that can progress to chronic kidney disease.[6]

Causes

Acute renal infarction is mostly caused by two major causes: in situ renal artery thrombosis, which is less common, and thromboemboli, which typically results from thrombus in the heart or aorta.[4]

Risk factors

Atrial fibrillation, a prior embolism history, mitral stenosis, diabetes, hypertension, and ischemic heart disease are risk factors for renal infarction.[7]

Diagnosis

Most patients have been reported to have gross or microscopic hematuria.[8] Significantly increased serum lactate dehydrogenase levels and proteinuria may also be observed.[7] Renal angiography is still the gold standard, but CT renal angiography, CT angiography, and DMSA radioisotope scan can also be used to establish the diagnosis.[4]

Treatment

There are no comparative trials to determine the best course of action for renal infarction brought on by thromboemboli, in situ thrombosis, or renal artery dissection. Reported treatments include open surgery, endovascular therapy, endovascular therapy (thrombolysis/thrombectomy with or without angioplasty), and anticoagulation.[4]

Outlook

Renal infarction 30-day mortality was 11.4% in a retrospective analysis of 44 individuals with atrial fibrillation and renal infarction.[8]

Epidemiology

In 1940, a study of 14,411 autopsies revealed that 1.4% of the cases involved renal infarction.[2]

A retrospective study that was carried out during a 36-month observation period revealed that the incidence of renal infarction among patients who visit the ED was 0.007%.[7]

See also

References

  1. ^ a b c d e Saju, Jiya Mulayamkuzhiyil; Leslie, Stephen W. (2023-05-30). "Renal Infarction". StatPearls Publishing. PMID 35881744. Retrieved 2024-02-23.
  2. ^ a b Hoxie, Harold J. (1940-03-01). "RENAL INFARCTION: STATISTICAL STUDY OF TWO HUNDRED AND FIVE CASES AND DETAILED REPORT OF AN UNUSUAL CASE". Archives of Internal Medicine. 65 (3): 587. doi:10.1001/archinte.1940.00190090124007. ISSN 0730-188X.
  3. ^ Faucon, Anne-Laure; Bobrie, Guillaume; Jannot, Anne-Sophie; Azarine, Arshid; Plouin, Pierre-François; Azizi, Michel; Amar, Laurence (2018). "Cause of renal infarction" (PDF). Journal of Hypertension. 36 (3). Ovid Technologies (Wolters Kluwer Health): 634–640. doi:10.1097/hjh.0000000000001588. ISSN 0263-6352. PMID 29045340. S2CID 40348543.
  4. ^ a b c d e Saeed, Khawer (2012). "Renal infarction". International Journal of Nephrology and Renovascular Disease. 5. Informa UK Limited: 119–123. doi:10.2147/ijnrd.s33768. ISSN 1178-7058. PMC 3437809. PMID 22969301.
  5. ^ Oh, Yun Kuy; Yang, Chul Woo; Kim, Yong-Lim; Kang, Shin-Wook; Park, Cheol Whee; Kim, Yon Su; Lee, Eun Young; Han, Byoung Geun; Lee, Sang Ho; Kim, Su-Hyun; Lee, Hajeong; Lim, Chun Soo (2016). "Clinical Characteristics and Outcomes of Renal Infarction". American Journal of Kidney Diseases. 67 (2). Elsevier BV: 243–250. doi:10.1053/j.ajkd.2015.09.019. ISSN 0272-6386. PMID 26545635.
  6. ^ Kwon, Jae Hyun; Oh, Bum Jin; Ha, Sang Ook; Kim, Dae Yong; Do, Han Ho (2016). "Renal Complications in Patients with Renal Infarction: Prevalence and Risk Factors". Kidney and Blood Pressure Research. 41 (6). S. Karger AG: 865–872. doi:10.1159/000452589. ISSN 1420-4096. PMID 27871081.
  7. ^ a b c Domanovits, Hans; Paulis, Monika; Nikfardjam, Mariam; Meron, Giora; Kürkciyan, Istepan; Bankier, Alexander A.; Laggner, Anton N. (1999). "Acute Renal Infarction: Clinical Characteristics of 17 Patients". Medicine. 78 (6). Ovid Technologies (Wolters Kluwer Health): 386–394. doi:10.1097/00005792-199911000-00004. ISSN 0025-7974. PMID 10575421.
  8. ^ a b Hazanov, Natasha; Somin, Marina; Attali, Malka; Beilinson, Nick; Thaler, Michael; Mouallem, Meir; Maor, Yasmin; Zaks, Nurit; Malnick, Stephen (2004). "Acute Renal Embolism". Medicine. 83 (5). Ovid Technologies (Wolters Kluwer Health): 292–299. doi:10.1097/01.md.0000141097.08000.99. ISSN 0025-7974. PMID 15342973.

Further reading

  • Antopolsky, Meir; Simanovsky, Natalia; Stalnikowicz, Ruth; Salameh, Shaden; Hiller, Nurith (2012). "Renal infarction in the ED: 10-year experience and review of the literature". The American Journal of Emergency Medicine. 30 (7). Elsevier BV: 1055–1060. doi:10.1016/j.ajem.2011.06.041. ISSN 0735-6757. PMID 21871764.
  • Suzer, Okan; Shirkhoda, Ali; Jafri, S.Zafar; Madrazo, Beatrice L; Bis, Kostaki G; Mastromatteo, James F (2002). "CT features of renal infarction". European Journal of Radiology. 44 (1). Elsevier BV: 59–64. doi:10.1016/s0720-048x(01)00476-4. ISSN 0720-048X. PMID 12350414.