Tufted angioma
| Tufted angioma | |
|---|---|
| Other names | Acquired tufted angioma, angioblastoma, angioblastoma of Nakagawa, hypertrophic hemangioma, progressive capillary hemangioma, and tufted hemangioma. |
| Tufted angioblastoma | |
| Specialty | Dermatology |
A tufted angioma, also known as an acquired tufted angioma, angioblastoma, angioblastoma of Nakagawa, hypertrophic hemangioma, progressive capillary hemangioma, and tufted hemangioma[1][2] usually develops in infancy or early childhood on the neck and upper trunk, and is an ill-defined, dull red macule with a mottled appearance, varying from 2 to 5 cm in diameter.[2]: 596
Signs and symptoms
Tufted angioma is defined as a single tumor in the skin of the neck, upper trunk, or extremities that appears erythematous, macula, or plaque-like.[3] Common accompanying symptoms include soreness and pain, and hyperhidrosis is a common finding that affects 30% of individuals.[4] The size ranges from one centimeter to ten centimeters.[5]
Causes
Although tufted angioma can be acquired or congenital, the lesion often manifests within the first year of life in about 50% of cases.[6] Although its pathophysiology is unknown, its angiogenesis, which permits the formation of capillary lobes, is facilitated by an increase in endothelial and vascular growth factors.[7] Some writers link this illness to endocrine triggers, such as the bursts of hormones that accompany puberty, and speculate that it might be a result of reactive vascular proliferation brought on by hormonal stimulation.[8] One possible contributing factor is trauma.[9] A few cases that resolve after birth have been reported in pregnancy, including some cases that follow a familial pattern.[6]
Diagnosis
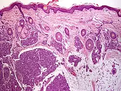
Imaging techniques such as magnetic resonance or ultrasound can be used to evaluate the affected area, distinguish one tumor from another, or both.[7] In the histopathology of tufted angioma, many lobules of tufts with a "cannonball" look are dispersed throughout the dermis, and crescent-shaped gaps are seen around the vascular tufts and in the tumor stroma.[3][10][11] In addition to CD31 and CD34, immunohistochemistry can be significantly positive for EN4 and Ulex uropaeus I lectin. It is sporadically positive for smooth muscle actin and negatively stained for GLUT.[11][7]
Differential diagnosis includes congenital hemangioma, vascular malformations, infantile hemangioma, pyogenic granuloma and, in adults, kaposiform hemangioendothelioma and Kaposi sarcoma.[6]
Treatment
The majority of the time, total lesion excision is used to treat tufted angioma. Moreover, other writers have previously employed additional techniques such as cryotherapy, laser, compression treatment, surgery, interferon, topical or systemic corticosteroids, and chemotherapy.[3]
See also
References
- ^ Rapini, Ronald P.; Bolognia, Jean L.; Jorizzo, Joseph L. (2007). Dermatology: 2-Volume Set. St. Louis: Mosby. p. 1779. ISBN 978-1-4160-2999-1.
- ^ a b James, William; Berger, Timothy; Elston, Dirk (2005). Andrews' Diseases of the Skin: Clinical Dermatology. (10th ed.). Saunders. ISBN 0-7216-2921-0.
- ^ a b c da Silva, Alessandra Dutra; Ramos, Grasieli de Oliveira; Gomes, Rita Fabiane Teixeira; Martins, Marco Antônio Trevizani; Lamers, Marcelo Lazzaron; Santa’Ana Filho, Manoel; Rados, Pantelis Varvaki; Hildebrand, Laura de Campos; Visioli, Fernanda (2014). "Tufted Angioma in Children: Report of Two Cases and a Review of the Literature". Case Reports in Dentistry. 2014. Hindawi Limited: 1–4. doi:10.1155/2014/942489. ISSN 2090-6447. PMC 4236965. PMID 25436158.
- ^ Wong, Su-Ni; Tay, Yong-Kwang (2002). "Tufted Angioma: A Report of Five Cases". Pediatric Dermatology. 19 (5). Wiley: 388–393. doi:10.1046/j.1525-1470.2002.00112.x. ISSN 0736-8046. PMID 12383093.
- ^ "UpToDate". UpToDate. Retrieved 2024-05-07.
- ^ a b c Prasuna, Aeerabolli; Rao, PotharajuNarasimha (2015). "A tufted angioma". Indian Dermatology Online Journal. 6 (4). Medknow: 266. doi:10.4103/2229-5178.160259. ISSN 2229-5178. PMC 4513407.
- ^ a b c Victoria Martínez, A.M.; Cubells Sánchez, L.; Esteve Martínez, A.; Estela Cubells, J.R.; Febrer Bosch, I.; Alegre de Miquel, V.; Oliver Martínez, V. (2015). "Angiomas en penacho en la infancia. Serie de 9 casos y revisión de la literatura". Anales de Pediatría (in Spanish). 83 (3). Elsevier BV: 201–208. doi:10.1016/j.anpedi.2014.10.018. ISSN 1695-4033. PMID 25468452.
- ^ Padilla, R. Steven; Orkin, Milton; Rosai, Juan (1987). "Acquired "Tufted" Angioma (Progressive Capillary Hemangioma)". The American Journal of Dermatopathology. 9 (4). Ovid Technologies (Wolters Kluwer Health): 292–300. doi:10.1097/00000372-198708000-00002. ISSN 0193-1091.
- ^ Silva, Camila Mendes da; Schettini, Antonio Pedro Mendes; Santos, Monica; Chirano, Carlos Alberto Rodrigues (2017). "Tufted angioma". Anais Brasileiros de Dermatologia. 92 (5). FapUNIFESP (SciELO): 742–743. doi:10.1590/abd1806-4841.20175896. ISSN 0365-0596. PMC 5674719. PMID 29166525.
- ^ Pires, Carla Andréa Avelar; Sousa, Brena Andrade de; Amin, Gabriela Athayde; Bittencourt, Maraya de Jesus Semblano; Miranda, Mario Fernando Ribeiro de; Carneiro, Francisca Regina Oliveira (2013). "Tufted angioma in ear auricle: importance of the differential diagnosis". Anais Brasileiros de Dermatologia. 88 (6 suppl 1). FapUNIFESP (SciELO): 113–115. doi:10.1590/abd1806-4841.20132538. ISSN 0365-0596. PMC 3875982.
- ^ a b Kazlouskaya, Viktoryia; Lytvynenko, Bohdan; Blochin, Elen (2014-04-30). "Tufted hemangioma: clinical case and literature review". Dermatology Practical & Conceptual. 4 (2). Mattioli1885: 33–35. doi:10.5826/dpc.0402a06. ISSN 2160-9381. PMC 4029251. PMID 24855571.
Further reading
- Okada, E.; Tamura, A.; Ishikawa, O.; Miyachi, Y. (2000). "Tufted angioma (angioblastoma): case report and review of 41 cases in the Japanese literature". Clinical and Experimental Dermatology. 25 (8). Oxford University Press (OUP): 627–630. doi:10.1046/j.1365-2230.2000.00724.x. ISSN 0307-6938. PMID 11167978.
- Osio, Amélie; Fraitag, Sylvie; Hadj-Rabia, Smail; Bodemer, Christine; de Prost, Yves; Hamel-Teillac, Dominique (2010-07-01). "Clinical Spectrum of Tufted Angiomas in Childhood". Archives of Dermatology. 146 (7). American Medical Association (AMA): 758–763. doi:10.1001/archdermatol.2010.135. ISSN 0003-987X. PMID 20644037.