Uterine adenosarcoma
| Uterine adenosarcoma | |
|---|---|
| Other names | Adenosarcoma of the uterus, Müllerian adenosarcoma of the uterus |
![]() | |
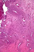
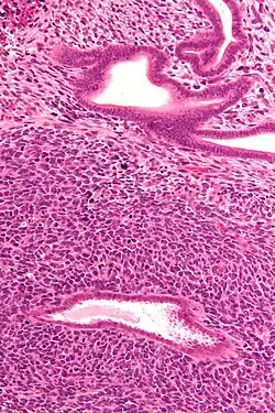
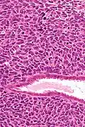
| Micrograph of a uterine adenosarcoma showing a mitotically active malignant stroma and benign glands. H&E stain. | |
| Specialty | Gynecology |
Uterine adenosarcoma is an uncommon form of cancer that arises from mesenchymal tissue of the uterus and has a benign glandular component.
Signs and symptoms
The most common presentation is vaginal bleeding.[1] Other presentations include pelvic mass and uterine polyp. Generally, the clinical findings are non-specific.
Pathology
Uterine adenosarcoma have, by definition, a malignant stroma and benign glandular elements. The World Health Organization (WHO) criteria have a mitotic rate cut point; however, this is often disregarded, as bland-appearing tumours with a low mitotic rate are known to metastasize occasionally.[2]
-
Low mag. -
Intermed. mag. -
Very high mag.
Treatment
Uterine adenosarcomas are typically treated with a total abdominal hysterectomy and bilateral salpingoophorectomy (TAH-BSO). Ovary-sparing surgery may be done in women wishing to preserve fertility.[3]
Prognosis
The prognosis is determined primarily by the cancer stage. Most tumours are discovered at an early stage and have a good prognosis, especially when compared to uterine carcinosarcoma. Five-year survival for stage I and stage III tumours is approximately 80% and 50% respectively.[4]
See also
References
- ^ Verschraegen, CF.; Vasuratna, A.; Edwards, C.; Freedman, R.; Kudelka, AP.; Tornos, C.; Kavanagh, JJ. (1998). "Clinicopathologic analysis of mullerian adenosarcoma: the M.D. Anderson Cancer Center experience". Oncol Rep. 5 (4): 939–44. doi:10.3892/or.5.4.939. PMID 9625851.
- ^ McCluggage, WG. (Mar 2010). "Mullerian adenosarcoma of the female genital tract". Adv Anat Pathol. 17 (2): 122–9. doi:10.1097/PAP.0b013e3181cfe732. PMID 20179434. S2CID 196403103.
- ^ Adedipe, TO.; Vine, SJ. (2010). "Mullerian adenosarcoma of the uterus: a rare neoplasm with a need for onco-fertility". Eur J Gynaecol Oncol. 31 (6): 714–6. PMID 21319526.
- ^ Arend, R.; Bagaria, M.; Lewin, SN.; Sun, X.; Deutsch, I.; Burke, WM.; Herzog, TJ.; Wright, JD. (Nov 2010). "Long-term outcome and natural history of uterine adenosarcomas". Gynecol Oncol. 119 (2): 305–8. doi:10.1016/j.ygyno.2010.07.001. PMID 20688363.
